Request an Appointment
Our Location
Healthy, confident smiles start here
(602) 362-7075
Our Office
1618 E. Bell Rd.
Suite 108
Phoenix
,
AZ
85022
(602) 362-7075
Visit Us Online
Home
About Us
Our Office
New Patients
Smile Gallery
Reviews
Dental Videos
Cancellation Policy
Local Communities
North Phoenix
Moon Valley
Our Doctors
Dr. Prachi Tyagi
Dr. Christopher Barrett
Dr. Erin Van Gundy
Dr. Harleen Hansen
Community
Specials
Services
Dental Cleanings
Dental Sealants
Emergency Treatment
Extractions
Fluoride Treatment
Night Guards
Oral Cancer Screening
Oral Exams
Pediatric Dentistry
Periodontal Treatment
Preventative Program
Root Canals
Sedation Dentistry
Snoring Appliances
Sports Mouthguards
TMJ Disorders
All-on-4®
CEREC Scanner
Dental Bridges
Dental Fillings
Dentures
Implant Dentistry
Ceramic Crowns
Cosmetic Dentistry
Teeth Whitening
Veneers
CBCT
Digital Radiography
Laser Dentistry
VELscope® Cancer Screening
SureSmile®
Dental Health
Request Appointment
Contact Us
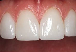
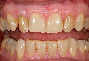
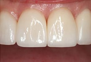
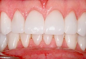
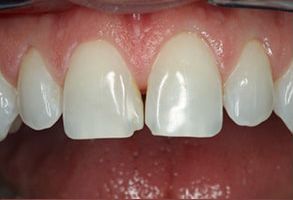
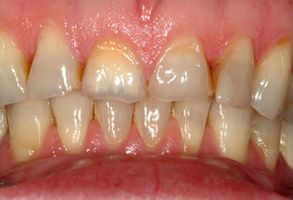
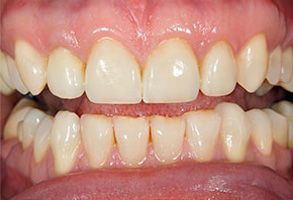
Dentistry Before and After Photos
Before
After
Before
After
Before
After
Before
After
Before
After
Before
After
Before
After
Our Office
1618 E. Bell Rd.
Suite 108
Phoenix
,
AZ
85022
(602) 362-7075
Visit Us Online
(602) 362-7075
© 2026 Lookout Mountain Family Dentistry. All Rights Reserved. |
Accessibility Policy
Dental Marketing
Phoenix Dentist | Dentist in Phoenix | Dental Services Phoenix